
Introduction
The appearance and function of a smile play a vital focus naturally role in a person’s overall quality of life. Losing a tooth, whether due to an accident, decay, or infection, can be a disheartening experience, affecting not only one’s look but also the ability to speak and eat comfortably. For many years, the primary solutions for missing teeth were bridges or dentures, which, while effective, often came with compromises in stability, convenience, and long-term oral health.
Today, there is a gold standard in restorative dentistry that offers a truly permanent and life-changing solution: Dental Implants Newcastle. This advanced treatment option has revolutionized how people approach tooth loss, offering a foundation that is designed to last a lifetime and mimic the function and feel of natural teeth. It is an investment in health, comfort, and unwavering confidence.
For individuals in the North East looking for a modern and comprehensive approach to dental care, Westmount Dental Surgery, with its highly trained team and commitment to high levels of customer care, is a prime destination. The practice understands the profound positive impact that a full, healthy smile can have on a person’s life and offers this cutting-edge treatment to patients across the region.
The Problem with Missing Teeth
When a tooth is lost, the consequences extend far beyond a gap in the smile. Underneath the gum line, the jawbone that once supported the tooth root no longer receives the necessary stimulation from chewing. Without this stimulation, the bone begins to resorb, or deteriorate, a process known as bone atrophy.
This bone loss can lead to a host of serious issues over time, including:
- Changes in Facial Structure: As the jawbone shrinks, it can cause the facial contours to change, leading to a sunken or aged appearance around the mouth and lower face.
- Shifting of Remaining Teeth: The adjacent natural teeth may begin to drift into the empty space, causing misalignment, bite problems, and increasing the risk of decay and gum disease.
- Difficulty in Eating and Speaking: A missing tooth can make chewing certain foods difficult or painful, leading to dietary restrictions. It can also cause whistling or slurring when speaking, affecting social interactions.
- Impact on Confidence: Perhaps the most immediate effect is the loss of self-esteem, making people focus naturally hesitant to smile, laugh, or engage in social settings.
Addressing tooth loss with a solution that mitigates these long-term effects is crucial, and that is precisely where the true value of Dental Implants Newcastle shines.
What are Dental Implants Newcastle?
To fully appreciate the benefits, it helps to understand the structure of a dental implant. Unlike traditional restorations that sit on top of the gums (like dentures) or are anchored to neighbouring teeth (like bridges), a dental implant replaces the entire tooth, root and crown.
A dental implant consists of three main components:
- The Implant Post: This is a small screw, typically made of biocompatible titanium, which is surgically placed directly into the jawbone. Titanium is used because it has the unique ability to fuse with the living bone tissue in a process called osseointegration. This creates a secure and incredibly stable foundation—just like a natural tooth root.
- The Abutment: A connector piece that is attached to the top of the implant post once osseointegration is complete. It sits just at the gum line and serves to hold the final crown.
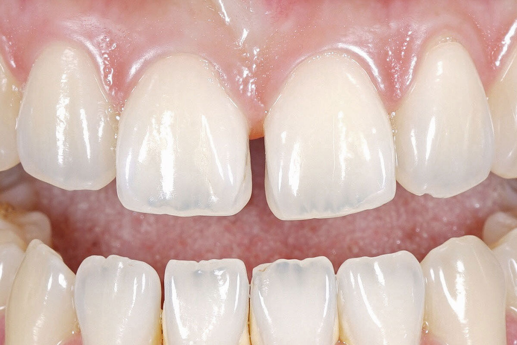
- The Crown/Prosthetic Tooth: A custom-made, natural-looking porcelain or ceramic tooth that is secured to the abutment. This crown is expertly crafted to match the colour, shape, and size of the surrounding natural teeth, ensuring a seamless and beautiful result.
This comprehensive structure makes Dental Implants Newcastle a robust and superior solution for single, multiple, or even a full arch of missing teeth. The ability of the titanium post to integrate with the jawbone is the key to its unparalleled success and longevity.
The Lifelong Benefits: Why Dental Implants Newcastle Are a True Investment
When a patient chooses an implant-based restoration, they are opting for far more than a simple cosmetic fix. They are investing in a healthier, more comfortable future. The following benefits are what truly set Dental Implants Newcastle apart as a lifetime solution:
1. Bone Preservation and Jawbone Health
This is arguably the most significant long-term benefit. Because the titanium post fuses with the jawbone, it acts as an artificial tooth root. This post transmits the forces of chewing down into the jawbone, providing the necessary stimulation to prevent bone loss. Preventing bone atrophy helps to preserve the structural integrity of the jaw and maintains the natural contours of the face, helping patients focus naturally on maintaining a youthful profile. Traditional dentures and bridges cannot offer this vital preservation benefit.
2. Unmatched Stability and Function
The stability of a fully integrated implant is second to none. Unlike removable dentures, which can slip, wobble, or cause embarrassing clicking sounds, implants remain securely fixed in the jaw. This permanent fixture means patients can enjoy all their favourite foods—from crisp apples to a hearty steak—without worry. Dental Implants Newcastle restore nearly the same chewing power as natural teeth, which is a life-altering return to normal function and enjoyment of food.
3. A Perfectly Natural Appearance and Feel
The custom-made crown that sits atop the implant is designed to blend flawlessly with the rest of the patient’s smile. Modern dental technology allows for the creation of crowns that beautifully mimic the translucency and colour variations of natural tooth enamel. People will focus naturally on the restored smile because it looks completely authentic. Furthermore, because the implant is rooted in the jaw, it feels like a natural tooth—there are no bulky acrylics or clasps that can irritate the gums or affect speech.
4. Protecting Neighbouring Teeth
One of the drawbacks of a traditional dental bridge is that it requires the dentist to file down the healthy, adjacent teeth to serve as anchors for the bridge. This process permanently alters healthy teeth and can make them more vulnerable to future issues. Dental Implants Newcastle stand alone, meaning they do not require any modification to the surrounding teeth. This ensures that the patient’s remaining natural dental structure is fully preserved.
5. Durability and Longevity
While other restorations like bridges or even the composite resin used in treatments such as Composite Bonding Newcastle will require replacement after a period (typically 5-15 years for bridges and 3-10 years for bonding), a dental implant post is designed to last a lifetime. With diligent oral hygiene and regular check-ups, the titanium root is a permanent fixture. The crown attached to it may need to be replaced after 10-15 years due to normal wear and tear, but the foundational implant remains, making the long-term maintenance cost surprisingly low compared to repeated replacements of other solutions.
6. Comfort and Convenience
Implants eliminate the daily hassle associated with removable dentures, such as messy adhesives and the need to take them out for cleaning. Patients treat their implant-supported crown just like a natural tooth: with simple brushing, flossing, and routine dental visits. This superior convenience helps patients focus naturally on enjoying their day-to-day life without interruption. The comfort is also vastly improved, as there are no foreign objects resting on the gum tissue to cause soreness or irritation.
The Implant Process at Westmount Dental Surgery
For those considering this transformative treatment, the team at Westmount Dental Surgery in Sunderland and their surrounding clinics across the North East are ready to guide patients through every step. The practice is well-regarded for its high-quality care and patient-focused approach, ensuring that every patient can focus naturally on achieving a comfortable, successful outcome.
The general process typically involves several stages, all handled by the experienced dental team:
- Initial Consultation and Planning: This critical first step involves a comprehensive examination, including X-rays and often 3D scans. The dental professionals assess the patient’s overall oral health, bone density, and suitability for the procedure. A detailed, personalised treatment plan is created.
- Implant Placement: The titanium post is surgically placed into the jawbone. This procedure is performed with precision and care, and patients are kept comfortable throughout.
- Osseointegration (Healing Period): This is the crucial healing phase, which can take several months. During this time, the jawbone naturally grows around and fuses with the implant post. Temporary restorations may be provided so patients can focus naturally on their daily routine.
- Abutment and Crown Placement: Once the implant is fully integrated and stable, the abutment is attached, and the final, custom-made crown is secured. The dentist ensures that the bite is correct and the aesthetic result is perfect.
- Aftercare and Maintenance: The practice provides clear guidance on how to care for the new implant, which is simply a continuation of good oral hygiene—brushing, flossing, and routine check-ups.
Beyond Implants: Complementary Cosmetic Solutions
While Dental Implants Newcastle are the ideal solution for missing teeth, Westmount Dental Surgery offers a full spectrum of services to perfect any smile. In cases where tooth loss is not an issue, or once implants have been placed, patients often choose to enhance the appearance of their remaining natural teeth.
One such popular and effective treatment is Composite Bonding Newcastle. This minimally invasive cosmetic procedure uses a tooth-coloured resin, carefully sculpted and bonded to the tooth surface, to repair minor imperfections. It is an excellent choice for:
- Closing small gaps between teeth.
- Repairing chipped or cracked teeth.
- Covering minor discolouration.
- Changing the shape of misshapen teeth.
Composite bonding offers a quick and affordable way to achieve great aesthetic results. While it is less durable than porcelain veneers or dental implants, it is highly repairable and can significantly enhance a smile with little to no removal of natural tooth structure. The experienced team at Westmount Dental Surgery can advise patients on whether the long-term, superior durability of an implant or the conservative, rapid results of composite bonding are best for their individual needs.
The availability of both high-end restorative solutions like Dental Implants Newcastle and aesthetic treatments like Composite Bonding Newcastle ensures that the practice can tailor a plan that addresses both health and cosmetic goals comprehensively.
The Westmount Dental Difference: Expertise and Care
Choosing a dental practice for a major procedure like dental implant placement is a decision that requires trust and confidence in the team’s expertise. Westmount Dental Surgery, serving the North East from its Sunderland location and surrounding clinics, offers the assurance of high-level care.
The team is deeply committed to delivering treatment using the latest techniques and ensuring that every patient feels supported. The core values of the practice revolve around patient satisfaction, a detail-oriented approach, and a warm, non-judgmental environment. Their dedication to governance, safety, and continuous improvement, as highlighted by their regulatory compliance record, means patients can focus naturally on their treatment outcome with peace of mind.
Furthermore, the practice features six modern treatment rooms and is accessible for all patients, with ample car parking nearby. This commitment to patient convenience and facility quality allows the clinical team to focus naturally on providing exceptional dental care.
A Financial and Emotional Investment That Pays Off
The initial cost of Dental Implants Newcastle can be higher than that of traditional bridges or dentures. However, it is essential to consider the lifelong value proposition.
- Elimination of Future Costs: Unlike alternatives that require frequent replacements, the implant itself is a one-time purchase. This saves money on future replacements and repairs.
- Preventive Health Savings: By preventing jawbone deterioration and protecting adjacent teeth from modification, implants reduce the risk of more complex and expensive dental problems down the line.
- Quality of Life: The ability to eat what one chooses, speak clearly, and smile without reservation is priceless. The restoration of self-confidence and the feeling of having a fully functioning, healthy mouth is an intangible benefit that helps patients focus naturally on a happier life.
Patients at Westmount Dental Surgery often reflect that the investment was one of the best decisions they ever made for their health and well-being. The permanent nature of the solution means they can focus naturally on living their lives, not on their missing teeth.
Conclusion: Securing a Lifetime of Smiles with Dental Implants Newcastle
The journey to a complete, healthy smile is a deeply personal and rewarding one. For anyone in the North East facing the challenges of tooth loss, Dental Implants Newcastle offer a solution that is unmatched in its stability, aesthetics, and long-term health benefits. It is a modern marvel of restorative dentistry that provides patients with a permanent tooth replacement, preventing bone loss and restoring function and confidence for decades.
The dedicated professionals at Westmount Dental Surgery, serving Sunderland and the North East, are ready to help patients explore this transformative treatment. They offer not just a dental procedure, but a personalized pathway back to a life of unrestricted smiles and comfortable eating. Whether a patient is looking to replace a single missing tooth or requires a more complex full-mouth restoration, they can trust the expertise available at the clinic.
To learn more about how dental implants can permanently change a smile, or to explore other cosmetic options like Composite Bonding Newcastle, individuals are encouraged to visit the practice’s comprehensive website at westmountdentalsurgery.co.uk/ or call the Sunderland office to arrange a consultation. Taking the first step towards a complete, healthy, and permanent smile is a decision that will benefit a patient for a lifetime. The chance to focus naturally on living life, rather than managing a dental issue, is the ultimate lifelong benefit offered by Dental Implants Newcastle.
